FILTER BY PATIENT'S AGE:

     

 

FILTER BY KEYWORDS:

 

                                                             

 

 


 

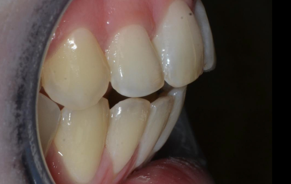
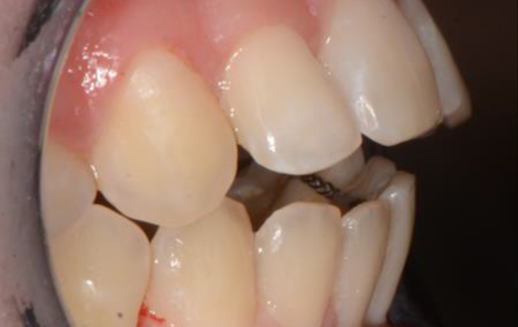
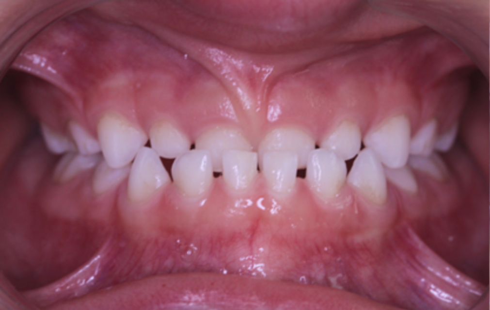
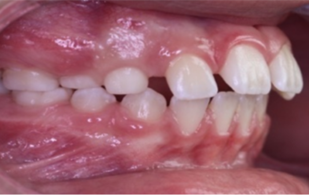
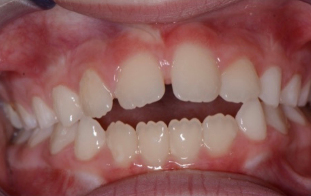
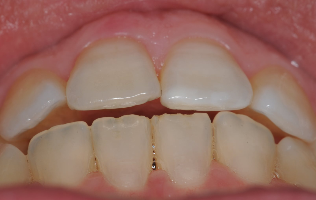
CORRECTION OF OPEN BITE CAUSED BY PACIFIER

 

Dr. Wassim Aoun

This intriguing case shows how Froggymouth can correct an open bite caused by pacifier use.

 

 

sometext sometext
BEFORE AFTER   
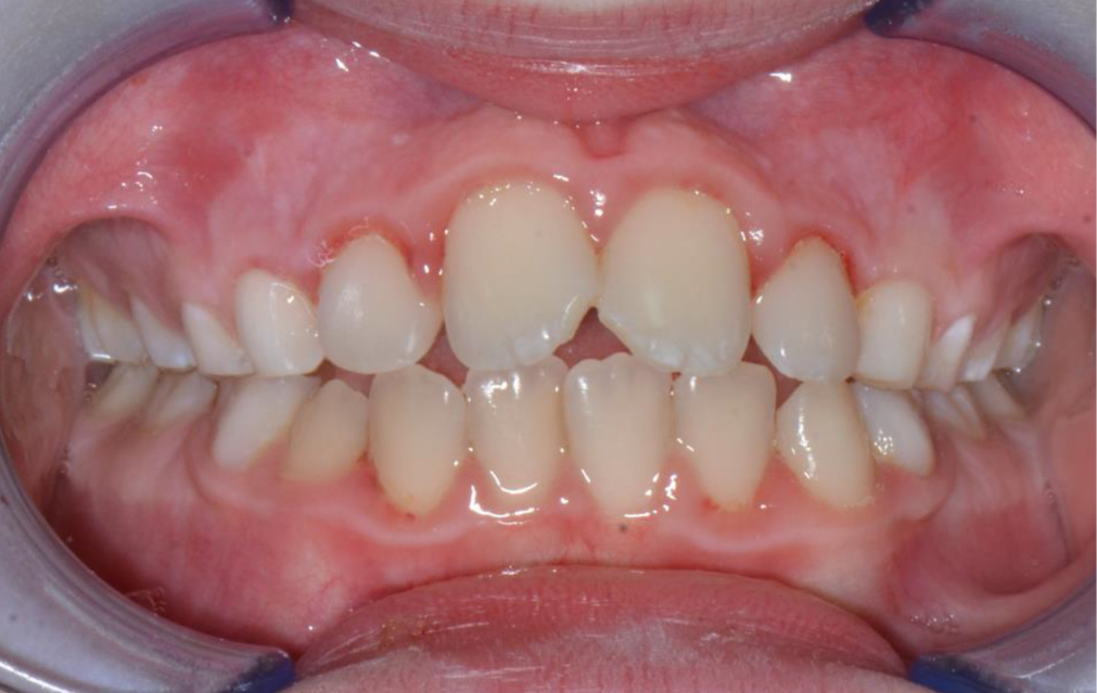
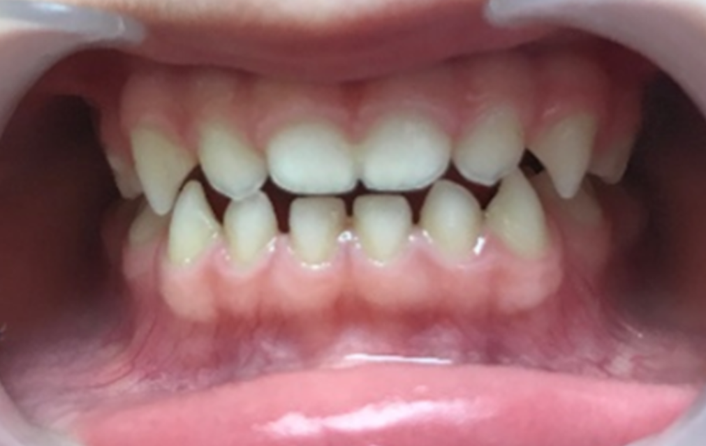
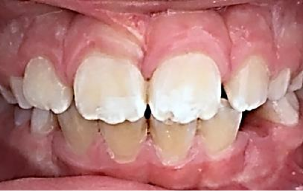
ALIGNERS AND FROGGYMOUTH - ANTERIOR OPEN BITE

 

Dr. David Couchat

At the end of the treatment, the patient's atypical swallowing was re-educated, and the previous recovery was acceptable.

 

 

sometext sometext
BEFORE AFTER   
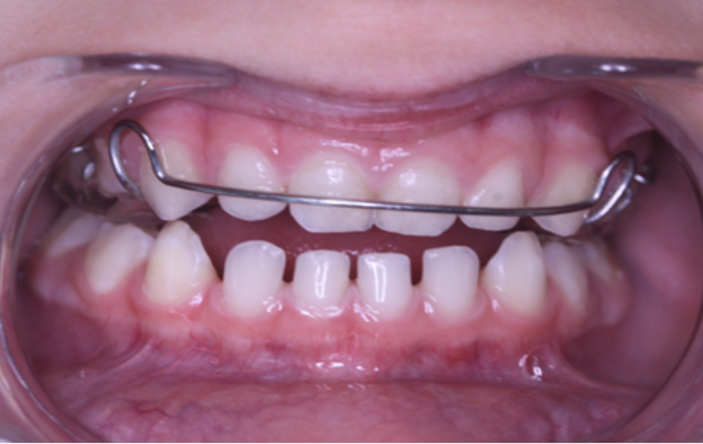
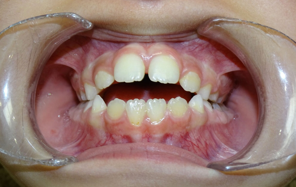
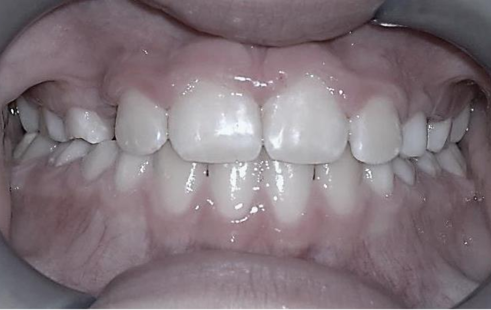
NORMALIZATION OF FUNCTIONS IN CHILDREN WITH NEUROLOGICAL DEFICITS

 

Vasilina Vasilieva

Normalization of posture and restoration of nasal breathing, impacting sleep.

 

 

 

sometext sometext
BEFORE AFTER   
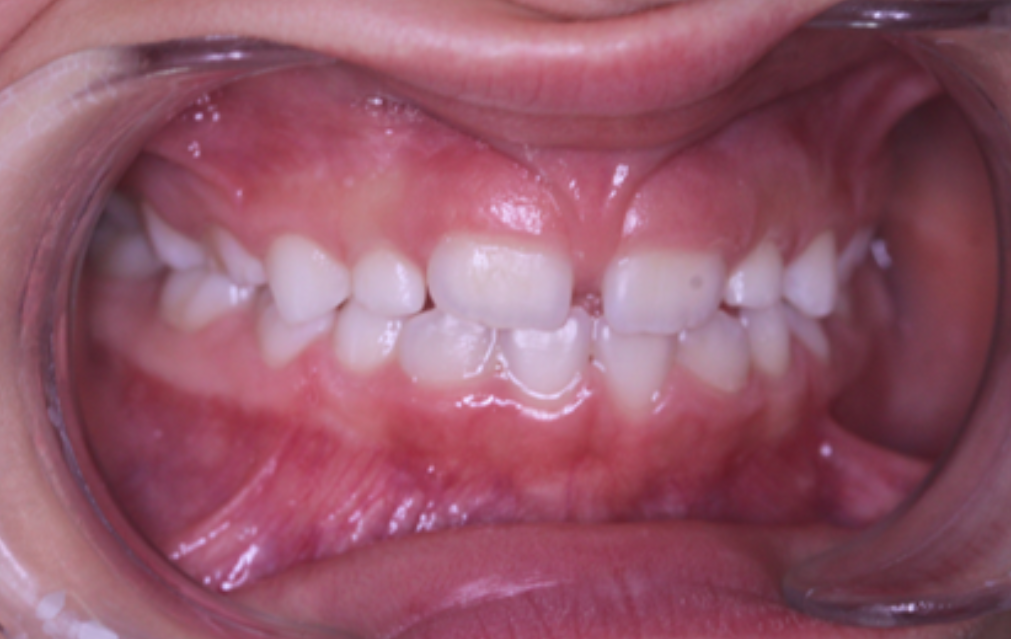
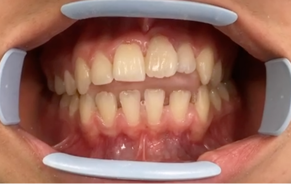
IMPACT OF FROGGYMOUTH ON POSTURE

 

Vasilina Vasilieva

Observation of the patient's muscular imbalance revealed significant changes during Froggymouth treatment. The patient's body muscles are now almost balanced.

 

sometext sometext
BEFORE AFTER   
CROSSBITE AND FROGGYMOUTH

 

Dr. Stéphane Samama

Example of transverse occlusion improvement in a patient after using Froggymouth for myofunctional rehabilitation.

 

 

sometext sometext
BEFORE AFTER   
ANTERIOR OPEN BITE AND THUMB SUCKING

 

Dr. Rafi Romano

Reduction of overjet, correction of overbite and harmful habits, without any orthodontic treatment.

 

 

sometext sometext
BEFORE AFTER   
ANTERIOR OPEN BITE AND MOUTH BREATHING

 

Dr. Rafi Romano

This case shows how Froggymouth treatment can influence tooth movement following a myofunctional change in facial and tongue muscles, creating a favorable environment for subsequent orthodontic treatment.

 

sometext sometext
BEFORE AFTER   
RELAPSE CONTROL WITH FROGGYMOUTH

 

Dr. Rafi Romano

Froggymouth prevented relapse, resulting in a trend reversal in the open bite of an 18-year-old patient.

 

 

 

sometext sometext
BEFORE AFTER   
SEVERE RETROMANDIBULAR TREATMENT WITH FROGGYMOUTH

Dr. Patrick Fellus

This case highlights the importance of achieving myofunctional balance: it is possible to modify the growth pattern and consolidate treatment effects.

 

 

sometext sometext
BEFORE AFTER   
HAWLEY PLATE AND FROGGYMOUTH ON A BECKWITH-WIEDEMANN SYNDROME

Dr. Patrick Fellus

This case illustrates the power of automated functional tongue posture and its impact on a child's growth from both an orthodontic and holistic perspective.

 

sometext sometext
BEFORE AFTER   
ISOLATED OPEN BITE: REHABILITATION WITH FROGGYMOUTH

 

Dr. Patrick Fellus

Froggymouth and spontaneous correction of dysmorphosis and physiological occlusion in permanent teeth without orthodontic intervention.

 

sometext sometext
BEFORE AFTER   
ANTERIOR OPEN BITE: 2 WEEKS WITH FROGGYMOUTH

 

Dr. Patrick Fellus

Froggymouth enabled an almost complete correction in just two weeks.

 

 

sometext sometext
BEFORE AFTER   
LYMPHATIC MALFORMATION AND MULTICYST IN THE OROPHARYNX

 

Dr. Patrick Fellus

Posteriorization of the tongue with Froggymouth.

 

 

sometext sometext
BEFORE AFTER   
PATIENT WITH LYMPHATIC MALFORMATION

 

Dr. Patrick Fellus

Froggymouth enabled tongue repositioning, slowing mandibular growth, and promoting facial anteriorization.

 

sometext sometext
BEFORE AFTER   
PATIENT WITH ANGIOMA

 

 

Dr. Patrick Fellus

Froggymouth only partially corrected the dysmorphosis but sufficiently to allow bilateral masticatory function.

 

sometext sometext
BEFORE AFTER   
SPONTANEOUS CORRECTION OF AN ALVEOLAR DEFORMATION

 

Dr. Patrick Fellus

The normalization of functions led to a resumption of harmonious growth and a satisfactory dental and occlusal alignment.

 

sometext sometext
BEFORE AFTER   
NARCOLEPTIC PATIENT RE-EDUCATED WITH FROGGYMOUTH

 

Dr. Patrick Fellus

The "bottom-up" approach allows for immediate results without imposing constraints on the child.

 

sometext sometext
BEFORE AFTER   
MAXILLARY PLATE AND FROGGYMOUTH

 

Dr. Ben Younes-Uzan

Result after six months of treatment with a maxillary plate and Froggymouth.

 

 

sometext sometext
BEFORE AFTER   
CLASS III ANTERIOR CROSSBITE

 

 

Dr. Ben Younes-Uzan

Froggymouth allowed mandibular adaptation to maxillary expansion with a device featuring molar buildups.

 

 

sometext sometext
BEFORE AFTER   
CROSSBITE AND LINGUAL DYSFUNCTION

 

Dr. Ben Younes-Uzan

Optimization of treatment with Froggymouth to stimulate rehabilitation.

 

 

sometext sometext
BEFORE AFTER   
EXPANSION OF THE UPPER JAW AND FUNCTIONAL REHABILITATION

 

Dr. Ben Younes-Uzan

Froggymouth plays a crucial role in this clinical case as it allows for targeted intervention.

 

 

sometext sometext
BEFORE AFTER   
CORRECTION OF ATYPICAL SWALLOWING CAUSING AN OPEN BITE

 

Dr. Giuseppe Sannino

Correction of atypical swallowing and elimination of tongue thrust before orthodontic treatment in a patient with open bite.

 

sometext sometext
BEFORE AFTER   
RELAPSE AFTER ORTHODONTIC AND SPEECH THERAPY TREATMENT

 

Dr. Mauro Libertucci

Natural relapse reversal with Froggymouth by eliminating the causes: tongue thrust and suction-swallowing pattern.

 

 

sometext sometext
BEFORE AFTER   
OPEN BITE AND FUNCTIONAL REHABILITATION

 

Dr. Ottavio Fedele

Closure of open bite in just two months, treatment still ongoing.

 

 

sometext sometext
BEFORE AFTER   
RIGHT CROSSBITE

 

 

Dr. Pietro Manzini

Correction of atypical swallowing and regression of crossbite with Froggymouth, resulting in natural occlusion correction in the months following treatment.

 

 

sometext sometext
BEFORE AFTER   
OPEN BITE AND CRANIOFACIAL ASYMMETRY

 

Dr. Pietro Manzini

Correction of open bite and tongue posture with subsequent restoration of craniofacial symmetry after 12 months of treatment with Froggymouth.

 

 

sometext sometext
BEFORE AFTER   
CLASS III RIGHT ANTERIOR CROSSBITE

 

Dr. Pietro Manzini

Results of Froggymouth treatment for right crossbite in Class III and atypical swallowing in a 7-year-old patient.

 

 

sometext sometext
BEFORE AFTER   
BIPROTRUSION AND ORBITAL ASYMMETRY

 

Dr. Pietro Manzini

Correction of atypical swallowing, rebalancing of craniofacial asymmetry, correction of nasal pyramid deviation, and acquisition of nasal breathing.

 

sometext sometext
BEFORE AFTER   
STUDY ON NEURONAL ACTIVATION WITH FROGGYMOUTH

 

Dr. Tshibanda e Dr. Pans

This study demonstrates the neuronal activation of the sensorimotor areas of secondary swallowing in a patient treated with Froggymouth.

 

sometext sometext
BEFORE AFTER   

 

Couldn’t find what you are looking for?